Dr. Keith Reber, DDS
Tustin, Ca Dentist

Family Dentistry

High-quality family care

Cosmetic Dentistry

Everything you need for a beautiful smile

Implant Dentistry

State-of-the-art tooth replacement

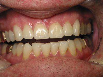
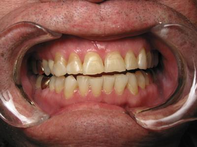
Veneers create a new smile in 2 visits!

This local Tustin man wanted to improve his smile and wanted an option that would "look the best and last the longest". After consultation with Dr. Reber, we decided on Veneers. The results are fantastic and will last for years to come.

Related Services:

Porcelain Veneers
Getting an appointment is fast and easy!
If you have difficulty using our website, please email us or call us at (714) 838-1856
View the ADA Accessibility Statement